Abstract
This blog post will tackle the topic “Motion Compensation for Electromagnetically Tracked Catheters”, starting with what are catheters and their usage, motivation for motion compensation and its methods.
Author: Unbekannter Benutzer (ge26xaj)
Supervisor: Ardit Ramadani
Table of contents
1.1 Types of Tracking Technologies
There are many tracking technologies used for catheter tracking [2]:
- Image-based
- Active/Passive Tracking
- Electromagnetic (EM) Tracking
- Magnetic-based Tracking
- Fiber Optic Shape Sensing
- Bioelectric Navigation/Tracking
- Robotic Tracking Solutions
- Hybrid Tracking
This blog will concentrate on Electromagnetic Tracking (EMT) and Hybrid Tracking using EMT and Image-based Tracking. Firstly we will focus on EMT-based catheter tracking. However, we will first need to know how EMT works.
1.2 Electromagnetic Tracking
EMT (shown in figure 3) consists of 4 components, Integrated Tracking Module, Sensor Interface Unit, Electromagnetic (EM) Sensor and Field Generator. The integrated tracking module and the sensor interface units are responsible for gathering the data from the EM sensor and tracking it. However, the EM sensor can only be tracked while inside a magnetic field which is generated by the field generator.
Fig. 3 EMT system from NDI [2].
The EM sensor is attached at the end of the catheter so that surgeons can track the catheter position inside the patient. This blog will tackle accuracy loss due to motion, by Motion Compensation. In order to represent the coordinate data from the EM sensor attached to the catheter, an image of the patient's body, region, or organ is used to show where the catheter is with respect to the patient. This requires a way to map the image coordinate system to the EM sensor coordinate system, which is achieved by registration.
1.3 Registration
Registration is the process of transforming data from different coordinate systems into one coordinate system. This allows us to represent all data from different systems comparably. In this case, the two present systems are the EMT and the imaging system. Usually, the imaging systems used with EMTs are Fluoroscopy or Ultrasound. After obtaining the image, it is needed to register the EM sensor data to the image's coordinate system (see figure 4). Therefore, we can just plot right away the coordinate data obtained from the EM sensor onto the obtained image in real time. Providing a real time map to the surgeons during surgery.
Fig. 4 Registration procedure [2].
2. Problem Statement
The idea of registering the obtained EMT data to the image's coordinate system works as long as the real life patient's position, matches the image's coordinates when it was first taken. However, this is far from true during the surgery. As during the surgery, a lot of different motion occurs. This leads to misrepresenting the catheter's location inside the patient. This can be solved by motion compensation, which is this blog's topic. Motion compensation is heavily dependent on the type of motion occurring during surgery. Thus, each motion has a different motion compensation solution. Common motions that occur during surgeries are:
- Catheter Motion[4]
- Friction and Pressure [3]
- Respiratory Motion
- Lungs Movement: 1 – 3 cm [5]
- Diaphragm Movement
- Abdominal Movement: 1.5 – 6 cm [6,7]
- Cardiac Motion [3, 9]
- Patient Movement
This bog will talk about motion compensation due to Catheter design Respiratory Motion and Cardiac Motion.
4.1.4 Motion Compensation for Backlash
For motion compensation due to backlash however, a model was created to predict the amount of backlash width “w” that will occur as a function of the inner diameter of the sheath “D_{sh}” and guidewire “D_{gw}” [3].
w = \theta (D_{sh} - D_{gw})
Afterwards, the force sensor can be used to add or subtract from the original applied force according to the “w”. However, to prevent sudden movement of the catheter leading to “jumps”, smoothing “\tau” was added to “w” [3].
\delta = \begin{cases} +w - \tau, & \text{} \\ -w + \tau, & \text{} \end{cases}
Where \tau equals:
\tau = 2w(1 - e^{- \bigtriangleup x/G})
Where “G” is a hyperparameter which selects how
quickly the offset is done.
This model agreed with the experimental values with a r2 of 0.93 [3]:
Fig. 11 Model-predicted backlash values versus experimental values [3].
4.1.5 Results
Afterwards, the friction prediction using Coulomb friction and the backlash model were combined to compensate motion due to friction and backlash. This produced the following results:
Fig. 17 Tip trajectory, and improved tip trajectory with model-based compensation [3].
These results show excellent in-vivo tracking results with a rms errors of less than 1 mm. There will always be the trade-off between friction and backlash however, due to the gap size.
| Status | Mean Absolute Error |
|---|---|
| No Motion Compensation | 2.34 mm |
| Motion Compensation | 0.24 mm (90% improvement) |
4.2.2 Respiratory motion and motion in the liver
Respiratory motion happens due to the patient's breathing and lung motion. This leads to the movement of the diaphragm, which leads to motion in the liver. The idea is to use an IRS in the sternum to measure the motion due to lungs and correlate it to the motion in the liver.
The correlation between Respiratory motion and Liver motion were measured by creating the following correlation matrix [10]:
Where (x, y, z) are from one IRS and (x^', y^', z^') are from the other IRS. While <x> are the mean of all the points in that direction.
All the location data from the IRSs are centralized by subtracting the mean from each point. In the end, the total correlation is calculated by averaging the correlation matrix.
4.2.3 Correlation Results
4.2.4 Motion compensation using sternum motion
Therefore, a model was implemented to predict the coefficients "A" that can relate how much the respiratory motion affects the liver motion in each direction. Then, the results are used to subtract the displacement from the location data produced by the IRS in the catheter [10]. However, the period where the training data was taken from had stable breathing and no catheter movement [10].
Where (x^', y^', z^') are from the IRS in the Sternum.
4.2.5 Results
Fig. 20 Uncompensated (broken line) and compensated (solid line) residual displacement in mm [10].
The correlation between the motion in the sternum and the liver was at 78% and reached 94% with minimal patient and needle motion. In addition, after motion compensation using the created model, the error decreased with a factor of ~4. Which is promising for clinical applications.
5.2 Model
Due to the lack of data, a U-Net model (shown in figure 22) was used because it is well known to reach good performance even with small datasets [11]. In the training phase the catheter location was highlighted, while in the test phase only the normal US image was given to the model. The loss used to train the model was the dice lose:
| Dice \, loss = 1 - \frac{2|X \cap Y|}{|X| |Y|} = \frac{2 TP}{2 TP + FP + FN} = 1 – Dice \, accuracy |
Fig. 22 Diagram of U-Net [11].
5.3 Results
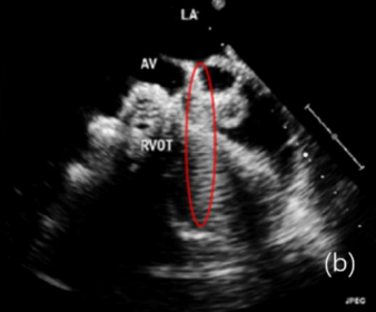
The catheter localization error when doctors were the ones to highlight the catheter's location was 4.7362 \pm 0.3523 mm (shown in figure 23). However, after using EMT as a ground truth the error was guaranteed to be 0.1 mm (shown in figure 24).
Fig. 23 Localization using Doctor's insights [11].
Fig. 24 Localization using EMT [11].
Unfortunately the model's validation loss was high, which is probably due to the lack of variation of US images [11] (shown in figure 26).
Fig. 25 Training loss [11].
Fig. 26 Validation loss [11].
The results are promising and a reliable deep learning model can be guaranteed. However, the model still faces overfitting issues due to the limitations of the dataset.
6. Summary
There are a lot of things that affects EMT's accuracy. However, this blog post focused on Accuracy loss due to motion during surgery. This included:
- Catheter Design
- Friction, pressure
- Respiration
- Cardiac Motion
- Patient motion
The displacement due to these motions were calculated with the help of different types of sensors:
- Internal reference sensors (IRS)
- External reference sensors (ERS)
- Force sensors
Afterwards, the measured displacement will be used to compensate the place of the catheter, in order to achieve a better localization. Unfortunately, this blog post was only able to discuss motion compensation for:
- Catheter Design while using EMT
- Respiratory motion using EMT
- Cardiac Motion using a Hybrid Tracking system
However, further and more general information can be found here:
- Friction, pressure: [3]
- Patient Motion: [8]
- Motion Compensation using DL for CT image-based tracking: [12]
7. Discussion
The problem with motion compensation is that it highly depends on the type of motion occurring. Therefore, there is not a general full depth paper about motion compensation. Every paper represented here tackled a certain type of motion, however, they still did not fully cover it or had certain limitations.
Starting with motion compensation due to catheter design [3], they only used a 1 degree of freedom (DOF) system to compensate the unwanted motion. Even thought they said that their previous work showed that motion primarily happens in one direction. That is because it does not mean an easier usage for the surgeons. Furthermore, we saw that bending of the wire can cause high backlash, which will then need a multiple DOF system to compensate. In addition, this study only covered pushing/pulling the catheter and bending. They did not, however, tackle catheter twisting, which occurs a lot in surgeries.
Moving on to motion compensation for respiratory motion, when they wanted to measure the correlation between the motion in the sternum and the motion in the liver, they averaged the motion to have a total motion correlation rate. However, that assumes that all motions in all directions correlate equally to each other. Which is a huge assumption thus, I think it would have been better to study each motion in each direction then apply a weighted average instead of a traditional average. Moreover, the model was trained on a segment of the data in which the patient had normal breathing and no catheter motion. This will lead to a bias model and unfair data distribution, affecting the performance of the model.
Lastly, we talked about a hybrid system which uses EMT and US. This paper has a similar issue as the previous one, where all the data were collected at rest in order to decrease the inaccuracy of the EMT. However, this might lead to a bias when collection US images. Which will not represent the general US images produced during clinical operations. In addition, throughout our blog we were talking about how EMT suffers from accuracy loss, so this leads us to the question of what is the best achievable performance of the model? As it will always be limited by the inaccuracy of the EMT. It also might predict the position better, but it will count as misprediction due to mislabeling.
8. References
[1] Dr. Werner Forssmann’s original catheter insertion into the right atrium (Forss-mann, 1929). Source: The image is reprinted with the acquired permission of Springer Nature (copyright). Permission to reuse the image must be obtained from the right shoulder
[2] Ramadani, Ardit, et al. "A survey of catheter tracking concepts and methodologies." Medical Image Analysis (2022): 102584
[3] S. B. Kesner and R. D. Howe, "Position Control of Motion Compensation Cardiac Catheters," in IEEE Transactions on Robotics, vol. 27, no. 6, pp. 1045-1055, Dec. 2011
[4] A. Dore, G. Smoljkic, E. V. Poorten, M. Sette, J. V. Sloten and G. -Z. Yang, "Catheter navigation based on probabilistic fusion of electromagnetic tracking and physically-based simulation," 2012 IEEE/RSJ International Conference on Intelligent Robots and Systems, 2012
[5] Ramsey CR, Scaperoth D, Arwood D, Oliver AL. Clinical effi-cacy of respiratory gated conformal radiation therapy. MedDosim 1999
[6] Korin HW, Ehman RL, Riederer SJ, Felmlee JP, Grimm RC.Respiratory kinematics of the upper abdominal organs: aquantitative study. Magn Reson Med 1992
[7] Kubo HD, Hill BC. Respiration gated radiotherapy treatment:a technical study. Phys Med Biol 1996
[8] Dürrbeck, C, Gulde, S, Abu-Hossin, N, Fietkau, R, Strnad, V, Bert, C. Influence and compensation of patient motion in electromagnetic tracking based quality assurance in interstitial brachytherapy of the breast. Med Phys. 2022
[9] Fei Jia, Shu Wang, V. T. Pham. A Hybrid Catheter Localisation Framework in Echocardiography Based on Electromagnetic Tracking and Deep Learning Segmentation. medRxiv 2020.
[10] Borgert J, Krüger S, Timinger H, Krücker J, Glossop N, Durrani A, Viswanathan A, Wood BJ. Respiratory motion compensation with tracked internal and external sensors during CT-guided procedures. Comput Aided Surg. 2006
[11] Fei Jia, Shu Wang, V. T. Pham. A Hybrid Catheter Localisation Framework in Echocardiography Based on Electromagnetic Tracking and Deep Learning Segmentation. medRxiv 2020.
[12] Maier J, Lebedev S, Erath J, Eulig E, Sawall S, Fournié E, Stierstorfer K, Lell M, Kachelrieß M. Deep learning-based coronary artery motion estimation and compensation for short-scan cardiac CT. Med Phys. 2021 Jul;48(7):3559-3571. doi: 10.1002/mp.14927. Epub 2021


















